¿Hablamos?
WhatsApp
Hola, ¿En que podemos ayudarte?

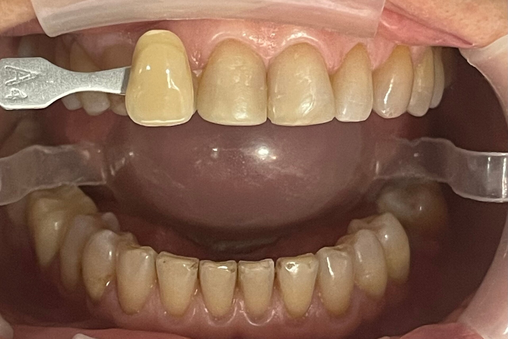
Aclaramiento Dental

Es un tratamiento estético que tiene como objetivo mejorar la tonalidad de los dientes mediante agentes blanqueadores que penetran en el esmalte dental y ayudan a eliminar manchas que pueden ser causadas por alimentos, bebidas, tabaco o el envejecimiento.

Aclaramiento Dental

Es un tratamiento estético que tiene como objetivo mejorar la tonalidad de los dientes mediante agentes blanqueadores que penetran en el esmalte dental y ayudan a eliminar manchas que pueden ser causadas por alimentos, bebidas, tabaco o el envejecimiento.

Aclaramiento Dental
01 de Oct
Imagina Colombia

Preguntas sobre Aclaramiento Dental

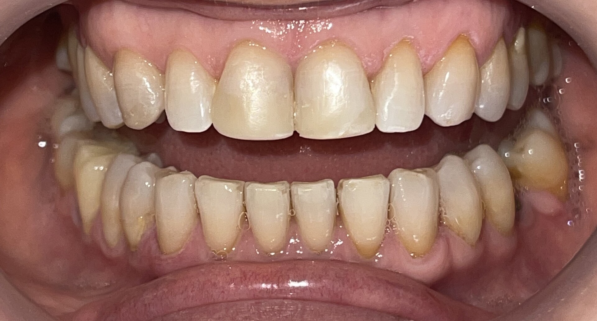
Los resultados pueden variar según factores como el color original de los dientes, el tipo de manchas (superficiales o profundas), la edad, los hábitos alimenticios de cada persona, entre otros. Recuerda que el objetivo es lograr un blanco más brillante y uniforme que se asemeje al color natural de los dientes, no un blanco artificial o excesivamente brillante. Si deseas un blanco “extra blanco”, será necesario realizar otro tipo de procedimiento.

  • Blanqueamiento en consultorio: Se realiza en la clínica y utiliza agentes blanqueadores de alta concentración.
  • Blanqueamiento casero: El odontólogo proporciona un kit con un gel blanqueador y una férula personalizada. Se aplica el gel en la férula y se usa durante un período específico (generalmente varias horas al día). Los resultados son más graduales que con el blanqueamiento en consultorio.

Desde la primera sesión se comienzan a ver los resultados. Sin embargo, una vez que se termine todo el proceso (incluyendo las sesiones caseras), podremos observar los resultados finales. Antes de iniciar el blanqueamiento, tomamos el color de los dientes y, con base a ello, definimos cuánto tiempo será necesario utilizar el tratamiento casero.

Sí, el aclaramiento dental es generalmente seguro para los dientes y encías cuando se realiza bajo la supervisión de un dentista. Aquí hay algunos puntos a considerar:

  • Productos probados
  • Evaluación previa
  • Sensibilidad dental
  • Instrucciones adecuadas
  • Cuidados posteriores.

 

Es posible que experimentes cierta sensibilidad durante o después del tratamiento de aclaramiento dental, pero no es común que cause dolor. Aquí hay algunos puntos a tener en cuenta:

  1. Sensibilidad temporal: Algunos pacientes pueden sentir sensibilidad en los dientes, especialmente si ya tienen dientes sensibles de antemano. Esta sensibilidad suele ser temporal y desaparece en cuestión de horas.
  2. Variedad de reacciones: La intensidad de la sensibilidad varía de persona a persona. Algunos pueden no sentir nada, mientras que otros pueden experimentar una leve molestia.
  3. Manejo de la sensibilidad: Se recomiendan productos específicos para ayudar a reducir la sensibilidad, como pastas dentales desensibilizantes o tratamientos con flúor.
  4. Instrucciones: Seguir nuestras indicaciones durante el tratamiento y los cuidados posteriores puede ayudar a minimizar la sensibilidad.

 

Aclaramiento Dental
Aclaramiento Dental